本文所分享的知识点是【澳洲一男子脚上潜伏1米长的几内亚龙线虫达4年】,欢迎您喜欢52ij所分享的新闻、攻略、电脑教程及手机知识等经验,下面是详细的讲解。
澳洲一男子脚上潜伏1米长的几内亚龙线虫达4年

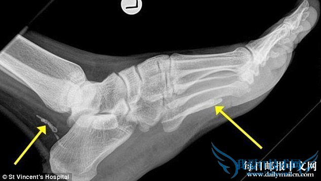
男子脚部和脚踝处蜷缩着两截几厘米的几内亚龙线虫尸体
近日,一位墨尔本男子因为脚部肿胀入院治疗,令人震惊的是,医生在他的脚内发现一条几内亚龙线虫( Guinea Worm )。
这位38岁的男子四年前移民至澳大利亚的墨尔本居住,大约在1年前男子的脚部就开始肿胀、疼痛。入院治疗后,医生乔纳森说:“X光显示该男子脚部和脚踝处蜷缩着两截几厘米的几内亚龙线虫尸体。而几内亚龙线虫一般可以长到一米左右,可能是因为虫子在男子体内早已死亡,虫体在体内开始退化。”两截虫体已被取出,男子的脚已无大碍。
达比医生告诉我们:“通常几内亚龙线幼虫是通过饮用水进入到人体,它们寄生于人类的皮肉,使得人的皮肤出现水疱。幼虫发育成成虫可能可以持续数年的时间,而且对于几内亚龙线虫目前是没有特效疗法的,唯一的方法就是从皮肤一点一点的将虫体拔出。”
几内亚龙线虫亦称麦地那龙线虫( Medina Worm )或龙线虫( Dragon Worm )。袋形动物门( Aschelminthes )线虫纲( Nematoda )动物,学名为Dracunculus medinensis 。亚洲和非洲热带地区的一种常见的人体寄生虫,还传布到西印度群岛和南美热带地区。![]()
关于澳洲一男子脚上潜伏1米长的几内亚龙线虫达4年的相关讨论如下:
相关问题:介绍一种中国的花(300字以上,500字以下)
答:常见病害有褐斑并红斑病和锈病等;常见害虫有线虫...~15厘米,一般五年生株高40~50厘米,高者达1米...牡丹的芽按功能和分化程度分为花芽、叶芽、潜伏芽和... >>详细
相关问题:
答: >>详细
相关问题:
答: >>详细
- 评论列表(网友评论仅供网友表达个人看法,并不表明本站同意其观点或证实其描述)
-
