本文所分享的知识点是【VR界的生死时速!谷歌的纸板眼镜救了一个婴儿的命】,欢迎您喜欢52ij所分享的新闻、攻略、电脑教程及手机知识等经验,下面是详细的讲解。
VR界的生死时速!谷歌的纸板眼镜救了一个婴儿的命

不幸而又幸运的迪根•莱克岑
凤凰科技讯 北京时间1月26日消息,一个刚出生的女孩,她只有一个肺,只有一半的心脏。医生告诉孩子的父母说:带回家去吧,没救了。生命是神奇的,几个月后孩子仍然坚强地活着。父母没有放弃,他们找到了迈阿密尼克劳斯儿童医院。医生们通过谷歌的纸板虚拟现实眼镜Cardboard全方位观察孩子的心脏,甚至深入它的内部,最终找到了治疗方案。
让我们带着对孩子的祝福、对医生的尊敬再来回顾下这段曲折的经历吧:
这是一款纸制设备,网上售价不到20美元,正是它大发神威,救了一个小宝宝的命,在此之前,医生曾无奈告诉孩子的父母:带回家去吧,没救了。这款设备就是谷歌的纸板虚拟现实眼镜Cardboard,它看起来像是大号方形护目镜,将iPhone放进去,安装一个APP,就可以看到3D虚拟现实图像。
迈阿密尼克劳斯儿童医院的医生在Cardboard的帮助下成功完成了手术,医生们说如果没有这款设备后果将不堪设想。
手术结束四周之后,本周三,这位名叫“Teegan”的幸运儿已经可以自己呼吸,不再需要呼吸机了。照医生的估计,2周后就她就可以康复出院了。
“太让人激动了。”孩子的母亲卡西迪·莱克岑说,“看到小小的纸盒和手机,正是它们救了我女儿的命,想起来就激动人心。”
医生们是这样做的:
少了一个肺和一半的心脏
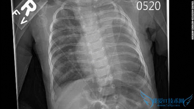
小迪根去年8月时才出生,她的心脏和肺都存在缺陷,医生之前还没见过这样的病例。她只有一个肺,几乎没有左心室。
孩子的父母卡西迪和钱德说,明尼苏达州的医生告诉他们“无能为力”了。孩子出生后不久就被送回了家,只有一名收容所护士照看,同时还接受了一些药物治疗,药物能让孩子尽可能舒服一些。
两个月之后,坚强的小宝宝还活着,孩子的父母开始怀疑医生的诊断是否正确,他们准备换一家医院诊断。

左边是迪根,右边是莱莉,她们都是去年8月出生的
几经辗转,通过朋友的朋友介绍,莱克岑好不容易找到了波士顿心脏重症监护室的一名护士。他们联系上了这名护士,医生让年轻父母将孩子在明尼苏达医院拍的心脏照片发过去。
看到希望的父母欣喜不已,他们将孩子的照片发过去。2周过去了,杳无音讯,父母们焦急不已。卡西迪又发邮件过去询问,她还礼貌地提醒医生时间很紧迫。没多久她就收到回复,医生们深表歉意,原来之前出现的通信故障,医生还告诉她很快就会给回信。
莱克岑夫妇清楚所谓的“很快”根本就快不了。迪根·莱克岑有一个双胞胎妹妹,名叫莱利,她正在健康成长,只有迪根却没有好转,还是那么小,这正是由于她的心脏太脆弱造成的。
“我们在与时间赛跑,”卡西迪说。
恰好在这时候钱德的妹妹读到一篇文章,这篇文章的名字是《今天仍然健在的20世纪最具创意儿科外科医生》。排在第三位的是雷德蒙·伯克医生,他是迈阿密尼克劳斯医院心血管外科主管。
钱德的妹妹赶紧联系雷德蒙·伯克医生并很快收到回复。一位护士告诉她说:“快点将照片发过来,我们会尽一切所能抢救孩子的。”
坏了的3D打印机和等待抢救的孩子
每个星期,30多位心脏领域的医生和护士都要开三次会,他们既为自己的病人寻找救治方案,也为那些可能成为他们病人的孩子寻找方案。
“孩子们能活多久都是在会议上决定的。”伯克医生说。
11月一个周三的上午,医生们看到了迪根的心脏照片。
和明尼苏达州的医生一样,迈阿密的医生也没有见过这样的病例,居然少了一个肺,还少了一半的心脏。他们讨论了各种不同的治疗方案,最终还是没有作出决定。一些医生同样认为他们帮不上什么忙。

迪根出生时只有一个肺的一半的心脏
伯克让一名小儿心脏病专家穆尼斯给迪根的心脏制作一个3D模型,穆尼斯擅长于制作图像。几小时后,穆尼斯带来一个糟糕的消息:3D打印机坏了。他遗憾地说:“好技术总是最在坏的时候出问题。”
危机就是转机,穆尼斯没有被困难吓退,他开始寻找其它方案。
穆尼斯曾经和大卫·佐恩医生聊过天,佐恩是匹兹堡大学医学中心的小儿心脏病专家,他们当时讨论过用虚拟现实技术了解孩子心脏健康状况的事。
那次谈话之后,穆尼斯买了一个谷歌的Cardboard设备放在办公室玩。穆尼斯作出决定,要用Cardboard和坏掉的打印机来建模。

迈阿密尼克劳斯儿童医院外科医生用谷歌的Cardboard为迪根的心脏制作3D图像
穆尼斯下载了一个名为“Sketchfab”的软件,然后将迪根的心脏照片传到iPhone上,用Cardboard展示给伯克医生看。
以前医生们只在电脑显示屏上看3D照片,用Cardboard看到的图像很相似,但是并不相同。有了小设备,伯克医生可以从各个角度检查心脏,甚至可以深入到心脏内部检查它的结构。
伯克通过谷歌Cardboard在虚拟图像中寻找救治方案。
生死一线间
12月10日,四个月大的迪根开始在迈阿密接受手术治疗。
第一个难题是如何接近她的心脏。一般来说,人的心脏位于胸部正中央,医生做手术时会通过中间切线接近心脏。

明尼苏达州的医生说没有办法救迪根,他们让孩子回家等死
迪根的心脏与常人不同,它离左胸腔太远了。伯克医生已经做了最坏的打算,用“翻盖式切口”的办法做手术,除了开一条中间切线,还要从胸部中间向左侧开一个切口。
伯克医生称:“对于一个婴儿来说,这样做手术伤害太大了,有点可怕。”他担心自己无法救下迪根。伯克医生还说:“她的生命正在消逝,实际上过去三个月她一步一步在接近死亡。”
幸好有Cardboard,它相比3D打印有一个优势。打印机只能让伯克医生看到心脏,但真正到了手术时就派不上用场了,医生需要看清孩子的胸腔和其它器官组织。
有了虚拟图像,伯克医生就可以找到办法用手术刀在中间切一条线,只要一条就可以,没必要多切一条。

手术之后迪根住进了心脏外科重症监护室
进入胸腔之后,谷歌Cardboard再次帮到了伯克医生。
一般人有两个心室,右侧给肺供血,左侧给身体其它部分供血。
迪根不同,她只有一个右心室,必须背负两份责任,时间长了心室根本承受不了。伯克医生说:“右心室的功能很弱,如果会说话,它一定会叫苦说:‘我做不了,这不是我的事。’”
迪根的心脏缺陷、骨骼比较独特,治疗其它孩子的方法在她身上也行不通。通过虚拟图像,伯克采用全新的手术方法强化心室并改变血流方向,这样单靠一个心室就可以支撑更长时间。
医生在打开胸腔之前必须将这些问题想清楚,手术台上每浪费一分钟都会危及孩子的生命,她的心脏和大脑可能受到伤害。
在迪根手术的前一天晚上,伯克医生躺在床上戴着Cardboard观看照片,他仔细考虑手术台上可能发生的一切。
第二天在手术室,当伯克打开孩子的胸腔时,发现心脏和他晚上看到的图像一模一样。他镇定地做手术,一点也没有感到惊异。伯克说:“有些时候生与死的差别就藏在细节之中。”(编译/虎涛)

想看更多国外有意思的、新奇的科技新闻?那就来扫码关注外言社的官方微信吧~
微信号:ifengwys
关于VR界的生死时速!谷歌的纸板眼镜救了一个婴儿的命的相关讨论如下:
相关问题:谷歌眼镜为什么并入Nest
答:我想,应该是出于以下几点考虑。 第一,谷歌眼镜的现状。 谷歌眼镜问世是为了应对苹果的Apple watch风暴,多多少少有点政治任务的意思,有点早产,并不是一个成熟的产品。不过,推出反响不俗,一经问世就占领了制高点,压下了Apple watch。在人... >>详细
相关问题:想买个vr眼镜,是不是不管哪个品牌都可以看3d电影...
答:目前在某宝销售的、售价仅9元的纸壳版的“暴风魔镜”已经售出了1.3万个,每天销量是200左右,当然必须注明,这个纸壳版眼镜是google今年6月2014谷歌I/O大会上展示的虚拟现实解决方案Google Cardboard,其实任何人去网络上下载一个Google Cardboard... >>详细
相关问题:分辨率为1280x720,用Moke手机VR魔镜暴风3代3d眼镜...
答:不知道你说的白点是什么,我只能告诉你会有颗粒感,就是手机屏幕通过透镜放大的一个个像素点,而且会很明显,用这些vr眼镜最起码得搭配1080p以上的屏幕效果才会好一点。更多内容可以查看盗梦极客等vr网站 >>详细
- 评论列表(网友评论仅供网友表达个人看法,并不表明本站同意其观点或证实其描述)
-
