脑白质脱髓鞘改变如何治疗 这种病是由什么引起的呢【图】
脑白质脱髓鞘改变如何治疗
脑白质病最显著的临床表现是精神状态的改变,没有失语的情况下有注意力、记忆力、视觉空间技能、执行功能和情感状态等其中至少一项缺陷。轻度病例表现为慢性意识模糊状态。
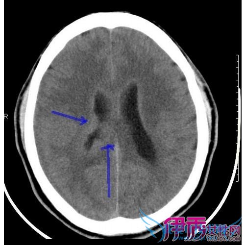
脑白质,是大脑内部而神经纤维聚集的地方,由于其区域比细胞体聚集的大脑表层颜色浅,故名脑白质。如脑白质中的中枢神经细胞的髓鞘损害,则会引起脑白质病。
大脑是由上百亿个神经元组成的,而神经元又是由细胞体和神经纤维组成的,细胞体中有细胞核(颜色深),神经纤维中有细胞质(颜色浅)。在大脑中细胞体聚集在大脑表层,看起来颜色深,叫做脑灰质;而神经纤维聚集在大脑内部,看起来颜色浅,叫做脑白质。脑白质病是一种大脑的结构性改变,以中枢神经细胞的髓鞘损害为主要特征,病变累及专门发挥高级大脑功能的白质束。其临床表现从注意力不集中、健忘和个性改变,到痴呆、昏迷甚至死亡。
而中毒性脑白质病是由多种毒性因素引起脑白质病:颅脑照射;药物治疗 ,如某些抗肿瘤药、抗生素及免疫制剂:滥用药物 ,如甲苯、乙醇、海洛因等 ;还有环境毒素等。在这些因素中 ,颅脑照射和抗肿瘤化疗是中毒性脑白质病非常确定的病因。随着肿瘤患者放、化疗的广泛应用,出现医源性脑白质损害的肿瘤患者越来越多。为了更好地认识这一病症 ,笔者就肿瘤放、化疗引起中毒性脑白质病的临床及其研究进行综述。
脑白质脱髓鞘改变如何治疗
脑白质病最显著的临床表现是精神状态的改变,没有失语的情况下有注意力、记忆力、视觉空间技能、执行功能和情感状态等其中至少一项缺陷。轻度病例表现为慢性意识模糊状态。
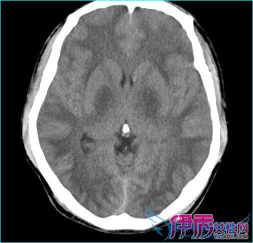
初步精神状态检查,包括评价注意力不集中的试验、鉴定记忆力障碍的三词延迟回忆试验、评价视觉功能障碍的时钟绘画和评价脑功能的交替运动序列。如果精神状态检查结果可疑,可进一步进行神经精神学测试。如果初步精神状态检查的前两类试验未发现任何缺陷,则可确定无可察觉的大脑损害;如果前两类试验发现异常,可进行大脑神经影像学检查。加权磁共振成像是首选检查手段,是鉴别早期或轻微脑白质病与精神疾病的重要手段,而CT仅能显示重度脑白质损害。
脑白质病最显著的临床表现是精神状态的改变,即在没有失语的情况下有注意力、记忆力、视觉空间技能、执行功能和情感状态等其中至少一项缺陷。轻度病例表现为慢性意识模糊状态 ,伴注意力不集中、记忆力丧失和情感功能障碍;更为严重的病例则产生痴呆、意识缺失、木僵和昏迷等严重后遗症。
脑白质脱髓鞘改变如何治疗
脑白质病最显著的临床表现是精神状态的改变,没有失语的情况下有注意力、记忆力、视觉空间技能、执行功能和情感状态等其中至少一项缺陷。轻度病例表现为慢性意识模糊状态。
而灰质的疾病则相反,是以累及语言、行为或感觉功能为主。如果脑白质发生了局灶性坏死,则精神状态改变比一般体征如偏瘫、感觉障碍和视力丧失突出。中毒性脑白质病的病变分布通常是弥漫性的,其临床分度总体上与白质损害的严重程度相平行。要重视肿瘤放化疗性脑白质病的研究.
确实有脑白质毒素接触史,如放、化疗和免疫治疗等,并排除其他脑白质损害原因,如遗传性脱髓鞘病等;接触毒源后发生精神状态改变,以及可能的剂量症状反应关系;有确凿的神经放射学证据,或典型神经病理结果。为什么说颅脑照射和抗肿瘤化疗是中毒性脑白质病的非常确定病因?因为,随着肿瘤发病率的上升,以及肿瘤放、化疗和免疫治疗等广泛的应用,抗肿瘤治疗所致的脑白质病越来越多,所以,我们进一步认识肿瘤放化疗引起的脑白质病有着重要的临床意义。
- 评论列表(网友评论仅供网友表达个人看法,并不表明本站同意其观点或证实其描述)
-
